9 claves para una salud bucodental de élite en 2026
En plena era de la odontología digital, cuidar la sonrisa ya no es solo una cuestión estética, sino una inversión directa en salud y bienestar.
Las técnicas avanzadas permiten recuperar dientes en un día, diagnosticar con precisión milimétrica y personalizar cada tratamiento como nunca antes. El Dr. Ismael Cerezo, fundador de Cleardent y referente en odontología mínimamente invasiva, reúne en este artículo las nueve tendencias que marcarán la salud bucodental en 2026.
1. Recuperar la funcionalidad en un solo día: Implantes de carga inmediata
La pérdida de una pieza dental afecta a la estructura facial y a la confianza. Gracias a la planificación digital, hoy se realizan implantes de carga inmediata, lo que permite al paciente recuperar su sonrisa y la función de masticar en una sola sesión.
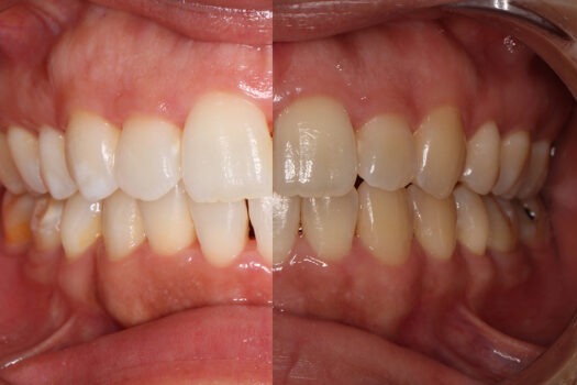
2. Diseño digital de sonrisa: El arte de la precisión
La estética dental actual permite personalizar cada detalle. Mediante el Diseño Digital de Sonrisa, se utilizan escáneres 3D para proyectar cómo quedarán tus carillas de porcelana o composite antes de empezar. Es la clave para un rejuvenecimiento dental armónico y adaptado a las facciones de cada rostro.
3. Odontología sin estrés: Sedación consciente
Para quienes el tiempo es oro o sienten ansiedad ante el dentista, la sedación consciente (supervisada por anestesistas) es la solución ideal. Permite realizar varios tratamientos en una sola sesión en un estado de relax total, sin dolor y con una recuperación inmediata. Es ganar salud ganando en confort.
4. Odontopediatría: Cuidar el futuro desde hoy
La salud dental de los más pequeños requiere un enfoque especializado. No se trata solo de tratar caries, sino de monitorizar el crecimiento óseo. En Cleardent utilizan protocolos de prevención avanzada para niños, con un entorno diseñado para que su primera experiencia sea divertida, educativa y libre de traumas.
5. Control del bruxismo: El impacto del estrés en la dentadura
El ritmo de vida exigente suele manifestarse en tensión mandibular y desgaste dental. Las férulas de diseño digital (3D) ofrecen un ajuste micrométrico perfecto al ser diseñadas sobre un escaneado real de tu boca. Son fundamentales para eliminar dolores de cabeza y proteger tu sonrisa de desgastes futuros.
6. Salud Periodontal: Un escudo para tu bienestar general
Una boca sana es fundamental para un corazón sano. Existe una relación probada entre la inflamación de encías y el riesgo cardiovascular. Un protocolo de Periodoncia Avanzada permite desinfectar los tejidos profundos mediante tecnología ultrasónica, asegurando que tus encías sean un soporte firme.
7. Ortodoncia invisible: Discreción y salud profesional
Alinear los dientes facilita una higiene perfecta y evita problemas articulares. El sistema Invisalign (ortodoncia invisible) permite corregir la posición dentaria de forma totalmente discreta y cómoda, adaptándose sin problemas a la vida social y profesional de los pacientes más exigentes.
8. Blanqueamiento Dental de Alta Gama: Luminosidad inmediata
Una sonrisa blanca proyecta higiene y éxito. Para garantizar resultados y evitar la sensibilidad, se aplica un blanqueamiento combinado: una fase de fotoactivación en clínica y otra de refuerzo en casa. Es un tratamiento seguro y duradero, diseñado para obtener el blanco más natural de forma inmediata.
9. La revisión «Full Digital»: Diagnóstico de precisión
La odontología moderna es preventiva, no reactiva. El estándar de calidad actual es la revisión Full Digital, que incluye cámaras intraorales y diagnóstico por imagen de alta definición (TAC). Detectar cualquier anomalía en su etapa inicial evita tratamientos complejos y garantiza una salud bucodental perfecta.
El Dr. Ismael Cerezo, fundador de Cleardent, cuenta con una dilatada trayectoria dedicada a transformar sonrisas a través de la tecnología. Su filosofía se basa en una odontología mínimamente invasiva y personalizada, acercando los tratamientos más avanzados a la salud integral de las personas.
Créditos: lamiradanorte.com
Otras noticias ...
Promoción de la salud bucal de niños en edad escolar
Cuándo un dolor de muela puede ser mortal
