La xerostomía causada por medicamentos

La xerostomía causada por medicamentos

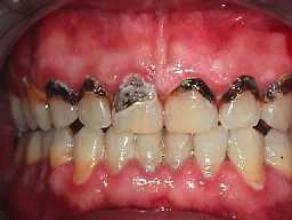
La xerostomía es la sensación de sequedad bucal que se produce cuando las glándulas salivales no producen suficiente saliva para mantener la boca húmeda. Las causas de la xerostomía son diversas e incluyen factores como la ingesta crónica de ciertos medicamentos, tratamientos de radioterapia de cabeza y cuello, enfermedades autoinmunes como el síndrome de Sjögren, diabetes, estrés y ansiedad, entre otros.

Por: Dental Tribune

jueves, 11 de abril de 2024

  La disfunción de las glándulas salivares inducida por medicamentos (MISDG) es una reacción adversa frecuente asociada con distintos tipos de medicación; estos fármacos afectan la cantidad y la calidad de la saliva que se produce, lo que constituye una afección que incide seriamente en la salud bucodental y la calidad de vida del individuo.

  La hiposalivación o reducción de la tasa de flujo salival inducida por medicamentos aumenta el riesgo de varias enfermedades bucales, incluyendo caries dentales, especialmente en lugares atípicos (alto riesgo de caries radiculares e incisales), mayor riesgo de candidiasis, mal aliento, ardor en la boca, trastornos del gusto y dificultades en la masticación, habla y deglución.

  El sistema de Clasificación Anatómico Terapéutico Químico (ATC) de medicamentos desarrollado por la Organización Mundial de la Salud (OMS) agrupa los fármacos en categorías según su propósito terapéutico, su anatomía, su modo de acción y su estructura química. Para el médico y el odontólogo, es fundamental comprender qué medicamentos causan disfunción de las glándulas salivales y xerostomía de acuerdo con el sistema ATC. Hasta el momento, se han identificado 56 medicamentos con evidencia sólida de interferir en la función de las glándulas salivares.

  La mayoría de los medicamentos asociados con la disfunción de las glándulas salivares pertenecen a la categoría principal del sistema nervioso en el ATC. Según la literatura médica, algunos de los medicamentos más citados con efecto en el sistema nervioso incluyen: tolterodina, duloxetina, quetiapina, bupropión, olanzapina, clozapina, fluoxetina, paroxetina y sertralina, venlafaxina. Además, se han observado efectos similares en la función de las glándulas salivares con fármacos urológicos como la oxibutinina, tolterodina y solifenacina.

  También se ha informado una reducción en la tasa de flujo salival en casos relacionados con diversos medicamentos, entre los que se incluyen: alendronato (antiresortivo), bendroflumetiazida (diurético tiazídico), clonidina (antihipertensivo), furosemida (diurético). Además, medicamentos como opioides (codeína, tramadol), antihistamínicos (cetirizina), antieméticos (droperidol, domperidona), antiparkinsonianos, ansiolíticos (alprazolam, diazepam), antiespasmódicos (diciclomina) y relajantes musculares (tizanidina) también pueden influir en la función de las glándulas salivares, lo que podría resultar en una reducción del flujo salival.

  Los medicamentos pueden afectar tanto al sistema nervioso central como a la unión neuroglandular, lo que explica la patogenia de la MISDG. Las células secretoras están equipadas con receptores muscarínicos M1 y M3, receptores adrenérgicos α1 y β1, así como varios receptores peptidérgicos que participan en el inicio de la secreción salival. Por consiguiente, resulta lógico que los fármacos que actúan como antagonistas sobre estos receptores autonómicos, a pesar de estar prescritos para tratar disfunciones en los diversos componentes del sistema nervioso autónomo, también puedan afectar las funciones de las glándulas salivales y causar sequedad en la boca.

Causas y síntomas

  Es importante abordar tanto la causa subyacente de la xerostomía como sus síntomas, ya que la sequedad bucal crónica puede aumentar el riesgo de caries, infecciones y otros problemas bucales. 

  Los agentes parasimpaticomiméticos con potentes propiedades estimulantes de los receptores muscarínicos, como la pilocarpina y la cevimelina, se han utilizado como estimulantes salivales sistémicos. Aunque aumentan significativamente la salivación, los efectos secundarios de estos fármacos limitan su uso en pacientes con DGSMIM. También es necesario asegurarse de la funcionalidad de las glándulas salivales antes de administrar estos medicamentos.

  Los sustitutos salivares son productos formulados para aliviar la sequedad bucal y parcialmente restaurar las funciones de la saliva. Estos productos suelen presentarse en forma de aerosoles, enjuagues bucales o geles. Algunos sustitutos salivares contienen ingredientes como electrolitos que imitan la composición química de la saliva natural, lo cual ayuda a humedecer la boca y ofrece alivio temporal.

Conclusión

  En resumen, la disfunción de las glándulas salivares provocada por medicamentos es un problema generalizado que conlleva consecuencias significativas para la salud bucal y la calidad de vida de quien la padece. Es crucial mantener una comunicación estrecha y coordinada entre el odontólogo y el médico prescriptor, especialmente en situaciones que requieran tratamiento dental, con el fin de garantizar el mejor resultado posible para el paciente afectado.

Créditos: Dental Tribune

Otras noticias ...

Promoción de la salud bucal de niños en edad escolar

PROMOCIÓN DE LA SALUD BUCAL DE NIÑOS EN EDAD ESCOLAR Medio millón de chicos atendidos Casi el 70% de los ...
/ Noticias
dolor-de-muelas

Cuándo un dolor de muela puede ser mortal

Cuándo un dolor de muela puede ser mortal Un dolor de muela sin tratamiento puede provocar infecciones que se expanden ...
/ Noticias

9 claves para una salud bucodental de élite en 2026

9 claves para una salud bucodental de élite en 2026 En plena era de la odontología digital, cuidar la sonrisa ...
/ Noticias

Bruxismo

Por qué rechinamos los dientes cuando dormimos y cómo dejar de hacerlo, según Harvard

Este problema puede amargarnos las noches y tener importantes consecuencias para nuestra salud bucodental.

Foto: Hope Connolly (istockphoto.com)

  El sonido de unos dientes que rechinan en el silencio de la noche puede ser muy molesto y eso lo saben bien quienes tienen un compañero de cama con bruxismo, una afección oral que se caracteriza precisamente por eso, por apretar y rechinar los dientes. Es un hábito involuntario que se hace de forma inconsciente y por eso suele presentarse durante el sueño.

 

  “No es un trastorno raro, ni mucho menos. Se trata de uno de los trastornos del sueño más comunes. Es algo que nos pasa a la mayor parte de las personas en algún momento de nuestras vidas”, explica el doctor Tim Charpkiewizc, quien trabajó durante tres décadas en Harvard y se especializó en Medicina Dental del Sueño.

Esta imágenes pueden estar sujetas a derechos de autor

  Desde el punto de vista físico, el apretar y rechinar que acompaña al bruxismo es sintomático de un mal funcionamiento del reflejo de masticación. Cuando dormimos, los reflejos involuntarios -como el de masticación- tienden a ser suprimidos o disminuidos en comparación con el estado de vigilia. Pero distintas investigaciones sugieren que, en personas con bruxismo, el centro de control de los nervios reflejos en el cerebro no se apaga completamente durante el sueño. Esto facilita que haga todavía los movimientos de masticación.

Por qué se produce

  Pero el reflejo de masticación no basta por sí mismo para explicar el bruxismo, un trastorno cuyas causas exactas se desconocen, pero del que se cree que puede ser el resultado de una combinación de factores físicos, psicológicos y genéticos como pueden ser:

  • Estrés y ansiedad: son considerados factores de riesgo importantes para el bruxismo. El rechinar de los dientes puede ser una respuesta involuntaria a la tensión emocional.
  • Maloclusión dental: una mala alineación de los dientes o una mandíbula desalineada pueden contribuir al desarrollo del bruxismo. Estas anomalías pueden aumentar la presión sobre ciertos dientes y músculos, lo que lleva al rechinar de los dientes.
  • Hábitos de sueño: dormir boca abajo o apretar la mandíbula durante el sueño, pueden aumentar la probabilidad de desarrollar bruxismo.
  • Consumo de sustancias: alcohol, tabaco, cafeína o ciertos medicamentos psicoactivos puede aumentar el riesgo de bruxismo.
  • Factores genéticos: algunas personas pueden tener una predisposición hereditaria a desarrollar este trastorno.
  • Trastornos del sueño: el bruxismo puede estar asociado, por ejemplo, con el síndrome de apnea obstructiva del sueño.
  • Otros factores: algunas patologías, como la enfermedad de Parkinson o la enfermedad de Huntington, pueden aumentar el riesgo de bruxismo.

Cómo daña el bruxismo

  En el bruxismo, lo más habitual es que los dientes superiores e inferiores (incisivos y caninos) se froten entre sí lateralmente. Es una acción de lado a lado “que ejerce una tensión excesiva sobre los músculos pterigoideos mediales y la articulación temporomandibular”, explica el experto.

  El síntoma más evidente y común es el dolor en las encías y en la articulación temporomandibular (ATM): es la sensación cuando nos despertamos de que tenemos la boca encajada y nos duele cualquier movimiento que hagamos con ella. Pero un bruxismo sostenido en el tiempo, puede tener consecuencias que van más allá de una simple molestia (o de que la pareja pida dormir en camas separadas):

  • Recesión de las encías y pérdida de dientes: “Daña directamente el tejido blando y provoca dientes flojos y bolsas profundas, donde las bacterias pueden colonizar y destruir el hueso de soporte”, explica el doctor Chrapkiewicz.
  • Traumatismo oclusal: los patrones de desgaste anormales en las superficies oclusales (de masticación) pueden provocar fracturas en los dientes, que pueden requerir un tratamiento restaurador.
  • Artritis: en casos graves y crónicos, el bruxismo puede eventualmente provocar dolor persistente en las articulaciones temporomandibulares.
  • Dolor miofascial: “El rechinar asociado con el bruxismo puede eventualmente acortar y embotar los dientes. Esto puede provocar dolores de cabeza debilitantes y dolores musculares en la región miofascial”.

Así se puede tratar

  El primer paso para abordar el rechinar de dientes es visitar al dentista. “El bruxismo frecuentemente se diagnostica erróneamente o no se diagnostica en absoluto, porque es solo una de varias causas potenciales de desgaste dental. Solo un profesional capacitado puede distinguir entre el desgaste por bruxismo y el desgaste causado por un cepillado demasiado agresivo, refrescos ácidos y alimentos abrasivos”, dijo Chrapkiewicz.

  Una vez confirmado el diagnóstico, es importante comenzar cuanto antes el tratamiento. No existe una cura única para el bruxismo, aunque hay disponibles una variedad de dispositivos y herramientas útiles:

  • Protectores bucales: “Se puede diseñar un protector bucal acrílico a partir de impresiones dentales para minimizar la acción abrasiva de las superficies de los dientes durante el sueño normal”. Los protectores bucales deben usarse a largo plazo para ayudar a estabilizar la oclusión y prevenir daños a los dientes y a la articulación temporomandibular.
  • Dispositivo NTI-tss: el NTI-tss es un tipo específico de férula de descarga, también conocida como guarda oclusal, que se ajusta sobre los dientes superiores o inferiores, dependiendo de la preferencia del paciente y la recomendación del odontólogo. Cubre solo un grupo de dientes en una sola arcada (generalmente los incisivos centrales o los caninos), en lugar de cubrir todos los dientes superiores o inferiores. “El objetivo del NTI-tss es prevenir el rechinamiento de los molares posteriores limitando la contracción del músculo temporal”.

  No obstante, en casos en los que el bruxismo esté causado por una mala gestión del estrés y la ansiedad, puede ser muy interesante hacer ejercicios de relajación y educación para el manejo del estrés.

Crédito: tn.com.ar/salud/bienestar

Otras noticias ...

Promoción de la salud bucal de niños en edad escolar

PROMOCIÓN DE LA SALUD BUCAL DE NIÑOS EN EDAD ESCOLAR Medio millón de chicos atendidos Casi el 70% de los ...
/ Noticias
dolor-de-muelas

Cuándo un dolor de muela puede ser mortal

Cuándo un dolor de muela puede ser mortal Un dolor de muela sin tratamiento puede provocar infecciones que se expanden ...
/ Noticias

9 claves para una salud bucodental de élite en 2026

9 claves para una salud bucodental de élite en 2026 En plena era de la odontología digital, cuidar la sonrisa ...
/ Noticias