Ilustración digital resplandeciente de la Tierra, centrada en las Américas, con efectos de luz azul y naranja y formas geométricas abstractas en el fondo oscuro. -corvt_ar

¿Qué puede provocar que tus encías se retraigan y qué se puede hacer para evitarlo?

Sorprendentemente, uno de los principales responsables de esto es el exceso de cepillado; entérate de todo en esta nota

Es importante enseñar una técnica de cepillado adecuada. Foto clinicaelenafatas.com

  Una de las preocupaciones más comunes que los pacientes traen al sillón del dentista es la de las encías retraídas. Muchas veces, lo primero que se piensa es: “Tendré una enfermedad de las encías”. Aunque esto puede ser cierto, la retracción de las encías no siempre es un signo claro de enfermedad. De hecho, muchas personas no notan ningún problema hasta que empiezan a experimentar sensibilidad dental a los alimentos fríos, calientes o dulces – o notan que su sonrisa cambia, con superficies dentales más visibles o pequeños huecos que aparecen entre los dientes.

  Los dentistas suelen responder a esta preocupación con una solución rápida: aplicar empastes blancos de composite cerca de la línea de las encías. Si bien esto puede ayudar con la sensibilidad a corto plazo, puede empeorar el problema con el tiempo al contribuir a una mayor recesión de las encías.

La enfermedad de las encías, también conocida como periodontitis, es una afección. Foto clinicasoto.es

  La enfermedad de las encías, también conocida como periodontitises una afección grave. Siempre deben investigarse síntomas como el sangrado al cepillarse, dientes a la deriva, mal aliento persistente o movilidad dental. Sin embargo, la recesión de las encías también puede tener otras causas.

  Sorprendentemente, uno de los principales responsables de la retracción de las encías es el exceso de cepillado. Usar demasiada fuerza o cepillarse con herramientas inadecuadas, como un cepillo de cerdas duras, puede desgastar gradualmente el tejido de las encías.

  Los cepillos eléctricos pueden ayudar reduciendo la presión, sobre todo los modelos más nuevos que se iluminan cuando se cepilla con demasiada fuerza. Pero, en realidad, muchas personas se fijan más en cuánto tiempo se cepillan que en cómo lo hacen. Incluso las aplicaciones inteligentes que se emparejan con estos cepillos suelen destacar el tiempo de cepillado en cada zona, en lugar de la presión aplicada.

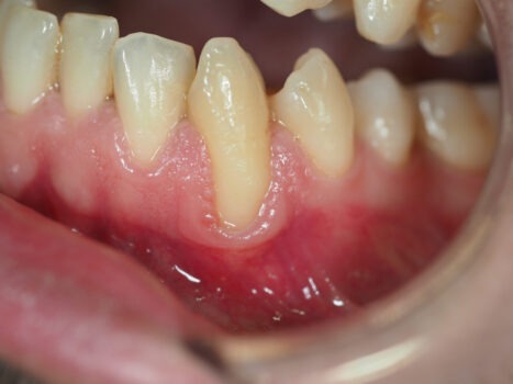
Cepillarse los dientes con demasiada fuerza puede hacer que se retraigan las encías. Fotos pexels.com

  Por eso es tan importante enseñar una técnica de cepillado adecuada. El mejor método variará en función de la estructura de los dientes y las encías de cada paciente, pero siempre debe tener como objetivo eliminar la placa de forma eficaz ejerciendo una presión suave y constante. Si a alguien le va bien con un cepillo manual y tiene una técnica sólida, no hay razón para cambiar a uno eléctrico.

  Otra causa creciente de recesión de las encías es el enderezamiento dental cosmético con alineadores transparentes. Aunque los alineadores son eficaces para alinear los dientes rápidamente, a menudo se combinan con retenedores fijos, es decir, alambres pegados detrás de los dientes para mantenerlos en su sitio. Con el tiempo, esto puede hacer que las raíces se desplacen fuera del alojamiento óseo natural de la mandíbula, lo que provoca que el tejido gingival se retraiga de los dientes.

Soluciones

  La buena noticia es que existen soluciones. Cada caso es único, pero con los conocimientos y técnicas adecuados, los dentistas pueden ayudar a los pacientes a recuperar tanto la salud de las encías como su aspecto. Para los casos en los que el tejido gingival retrocedió significativamente, existen varias opciones quirúrgicas en función de las necesidades y objetivos del paciente.

  Para los problemas funcionales, se suele utilizar una técnica denominada injerto gingival libre. Consiste en trasplantar una fina capa de tejido -generalmente tomada del paladar- para crear una banda de encía rosada y resistente alrededor de la base de los dientes. Esto ayuda a los pacientes a cepillarse cómodamente sin irritar el tejido blando de la encía. Aunque este procedimiento puede reducir ligeramente la recesión, el objetivo principal es mejorar la durabilidad y la comodidad, no la estética. El injerto suele tener un color y una textura visiblemente diferentes.

La periodontitis es una afección. Foto pexels.com

  Para los problemas estéticos, existen técnicas de “cirugía plástica” más avanzadas. Un método muy popular consiste en levantar con cuidado el tejido gingival local, insertar debajo un injerto de tejido (también tomado normalmente del paladar) y coserlo en su sitio. Este método de “sándwich” engrosa las encías y les da un aspecto más sano. El injerto actúa como un andamio sobre el que vuelve a crecer el tejido gingival existente, mejorando tanto la forma como la función.

  Estos procedimientos son seguros, eficaces y mínimamente invasivos. Suelen realizarse con anestesia local en una clínica dental y solo requieren unos días de recuperación con analgésicos de venta libre. Para los pacientes con ansiedad, también se puede utilizar la sedación consciente, una técnica en la que se utilizan medicamentos para relajar al paciente durante un procedimiento médico, lo que le permite permanecer despierto y alerta, pero sintiéndose menos nervioso y potencialmente menos consciente de lo que está sucediendo.

  Los estudios a largo plazo demuestran que estas técnicas son fiables, con una tasa de éxito de hasta el 93% y una recidiva mínima incluso cinco años después de la intervención. El paso más importante en el tratamiento de la recesión de las encías es una evaluación exhaustiva del paciente.

  Aunque las preocupaciones estéticas son importantes, la verdadera prioridad es asegurarse de que no se está pasando por alto la enfermedad de las encías. La periodontitis es una enfermedad silenciosa y progresiva que provoca inflamación crónica, pérdida ósea y, finalmente, pérdida de dientes. Y lo que es más importante, las investigaciones relacionan la enfermedad periodontal con enfermedades sistémicas como la diabetes, las enfermedades cardiovasculares e incluso la demencia. Proteger nuestras encías no es solo mantener una bonita sonrisa, sino salvaguardar nuestra salud en general.

Créditos BBC.com

Otras noticias ...

Qué puede provocar que tus encías se retraigan y qué se puede hacer para evitarlo

¿Qué puede provocar que tus encías se retraigan y qué se puede hacer para evitarlo? Sorprendentemente, uno de los principales ...
/ Noticias

Promoción de la salud bucal de niños en edad escolar

PROMOCIÓN DE LA SALUD BUCAL DE NIÑOS EN EDAD ESCOLAR Medio millón de chicos atendidos Casi el 70% de los ...
/ Noticias
dolor-de-muelas

Cuándo un dolor de muela puede ser mortal

Cuándo un dolor de muela puede ser mortal Un dolor de muela sin tratamiento puede provocar infecciones que se expanden ...
/ Noticias