El té verde: un aliado natural para mantener tu salud bucal
El cuidado de nuestra salud bucal va más allá de una sonrisa brillante: es una pieza clave para prevenir problemas como caries, gingivitis y periodontitis.
Entre las muchas opciones naturales que complementan una buena higiene dental, el té verde destaca por sus impresionantes beneficios.
El poder del té verde contra el sarro
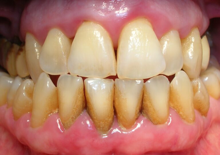
El sarro, esa molesta acumulación de placa bacteriana endurecida, puede convertirse en un problema estético y de salud si no se trata a tiempo. Aunque su eliminación requiere una limpieza dental profesional, prevenirlo es el verdadero secreto para una boca saludable.
El té verde, rico en antioxidantes como la epigalocatequina galato (EGCG), actúa como un potente agente natural contra la formación de sarro. Este compuesto inhibe el crecimiento de bacterias como la Streptococcus mutans, responsables de la placa y las caries, y evita que la placa se endurezca. Así, esta infusión no solo ayuda a mantener tus dientes limpios, sino que también fortalece tus encías y combate el mal aliento.
Beneficios clave del té verde para la salud bucal
Incorporar té verde a tu rutina diaria puede marcar una gran diferencia en tu higiene dental. Algunos de sus principales beneficios incluyen:
Prevención del sarro y la gingivitis: Sus propiedades antioxidantes y antimicrobianas reducen la acumulación de placa bacteriana y cuidan tus encías.
Eliminación de bacterias dañinas: Combate las bacterias responsables de caries, infecciones y mal aliento.
Fortalecimiento dental y encías saludables: Reduce la inflamación y promueve dientes más resistentes.
Uso versátil: Puedes consumirlo como infusión o usarlo como enjuague bucal para potenciar su efecto protector.
Reducción del riesgo de enfermedades graves: Previene problemas más serios como la periodontitis, protegiendo tu sonrisa y tu salud general.
¿Cómo integrarlo en tu rutina diaria?
Para aprovechar al máximo los beneficios del té verde, considera consumir una o dos tazas al día. Si buscas un extra en tu rutina de higiene, utiliza una infusión tibia como enjuague bucal después del cepillado.
Complemento, no sustituto
Es importante recordar que, aunque el té verde es un aliado poderoso, no sustituye las bases del cuidado bucal: cepillado correcto, uso de hilo dental y visitas regulares al odontólogo.
Incluir hábitos naturales como el consumo de té verde refuerza el bienestar integral de tu boca y te ayuda a mantener una sonrisa saludable por más tiempo.
¿Listo para disfrutar de una infusión que cuida tu salud desde el primer sorbo?
Crédito: lanacion.com.ar
Otras noticias ...
Promoción de la salud bucal de niños en edad escolar
PROMOCIÓN DE LA SALUD BUCAL DE NIÑOS EN EDAD ESCOLAR Medio millón de chicos atendidos Casi el 70% de los ...
Cuándo un dolor de muela puede ser mortal
Cuándo un dolor de muela puede ser mortal Un dolor de muela sin tratamiento puede provocar infecciones que se expanden ...
9 claves para una salud bucodental de élite en 2026
9 claves para una salud bucodental de élite en 2026 En plena era de la odontología digital, cuidar la sonrisa ...

