Cómo cuidar tus encías
Tus dientes no son los únicos que necesitan limpieza y atención.
Durante años, me he cepillado los dientes con demasiado afán, como si estuviera quitando percebes del casco de un barco.
Exagero porque quiero evitar las caries o, peor aún, una temida endodoncia. Pero resulta que mis encías están pagando el precio de mi cepillado entusiasta.
Según dijo Joseph Fiorellini, catedrático de Periodoncia de la Facultad de Odontología de Pennsylvania, aunque seamos bastante diligentes en el cuidado de los dientes, a menudo damos por sentada la salud de nuestras encías. Eso puede incluir cepillarse demasiado fuerte.
Nuestra negligencia tiene consecuencias. El 42 por ciento de los adultos estadounidenses mayores de 30 años muestran signos de enfermedad de las encías. Esta infección de los tejidos que rodean los dientes puede provocar la pérdida de hueso o dientes, y se ha relacionado con enfermedades como las cardiopatías, las infecciones respiratorias y la demencia.
Mantener las encías sanas es crucial, dicen los expertos. He aquí cómo hacerlo.
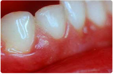
Presta atención a la línea de tus encías
Una fase temprana de la enfermedad de las encías se conoce como gingivitis. Está causada por una acumulación de placa en la línea de las encías.
Si la padeces, probablemente notarás que tus encías están irritadas, hinchadas o más propensas a sangrar. Pero la gingivitis se puede prevenir y revertir con el cepillado diario y el uso del hilo dental, así como con limpiezas profesionales. (Si no tienes un plan dental, puedes encontrar recursos para una atención de bajo costo en Estados Unidos en el Instituto Nacional de Investigación Dental y Craneofacial).
Presta atención a la línea de las encías cuando te cepilles, dijo Edmond Hewlett, profesor emérito de la Facultad de Odontología de la UCLA. La Asociación Dental Estadounidense recomienda que te cepilles los dientes dos veces al día durante dos minutos y utilices el hilo dental una vez al día. Coloca el cepillo de dientes contra la línea de las encías en un ángulo de 45 grados para eliminar la placa tanto por encima como por debajo del nivel de las encías.
“Tienes que limpiar esa unión entre la encía y el diente”, dijo Fiorellini. A continuación, mueve el cepillo suavemente hacia delante y hacia atrás con movimientos cortos.
Tanto los cepillos eléctricos como los manuales son eficaces. Pero si utilizas uno manual, opta por cerdas suaves, porque las más duras pueden herirte las encías, dijo Esteban Garza, dentista de Houston.
No ignores el sangrado de encías
No es “para nada normal” que te sangren las encías, dijo Hewlett.
Las personas cuyas encías sangran tienden a evitar el uso del hilo dental y el cepillado cerca de las encías, pero eso es un error. “Les digo: ‘Tienes que cepillártelas más y poner las cerdas justo en la línea de las encías’”, dijo Hewlett.
Si el sangrado no mejora, dijo, visita a tu dentista. Tu dentista o higienista puede enseñarte técnicas de cepillado y uso del hilo dental que te ayudarán, añadió Hewlett.
Cuidado con las encías retraídas
La enfermedad periodontal puede hacer que el tejido de las encías, que normalmente se ajusta perfectamente a los dientes, se retraiga, dejando al descubierto la raíz que hay debajo.
Las raíces de los dientes son más vulnerables a las caries porque no están cubiertas por un esmalte duro como las coronas, dijo Hewlett.
Si tus encías se retraen, tus dientes pueden parecer más largos, y las raíces pueden tener un color distinto al del resto del diente. También puedes sentir sensibilidad al calor, al frío o al cepillado.
Mantén limpia esa zona con hilo dental o pequeños cepillos interdentales, dijeron los expertos.
También puedes utilizar dentífricos desensibilizantes o pedir a tu dentista productos con flúor recetados, como enjuagues o cremas dentales, dijo Patrick Lloyd, decano de la Facultad de Odontología de la Universidad de Stony Brook. Estos productos hacen que tus raíces sean más resistentes a la caries, dijo.
Si la retracción de tus encías es grave, lo que puede provocar infección o pérdida de dientes, habla con tu dentista sobre un injerto de encía, sugirió Fiorellini.
Adopta hábitos favorables para las encías
Los cambios en el estilo de vida pueden ayudar a tus encías, dijeron los expertos. Los fumadores, por ejemplo, tienen mayor riesgo de enfermedad periodontal que los no fumadores, así que, si fumas, plantéate dejar el hábito.
También puedes modificar tu dieta. Una revisión de 10 estudios realizada en 2023 halló una asociación entre las bebidas azucaradas y las encías enfermas. Los expertos recomendaron limitar las bebidas azucaradas o cambiarlas por agua.
Las personas con diabetes tienen un mayor riesgo de desarrollar enfermedad de las encías, por lo que deben informar a su dentista sobre esta afección, dijo Fiorellini. Y la Fundación Estadounidense de la Diabetes recomienda que las personas con diabetes visiten al dentista al menos cada seis meses y vigilen los signos de enfermedad de las encías.
Y si te frotas los dientes maniacamente, como hacía yo, relájate. Un mantra fácil de recordar: para unas encías menos sensibles, cepíllate con un poco más de ternura.
Otras noticias ...
Promoción de la salud bucal de niños en edad escolar
Cuándo un dolor de muela puede ser mortal
